Все фотографии публикуются с разрешения пациента
Рассказывает врач-ортодонт клиники Норд Дентал, Ирина Константиновна Шевченко:
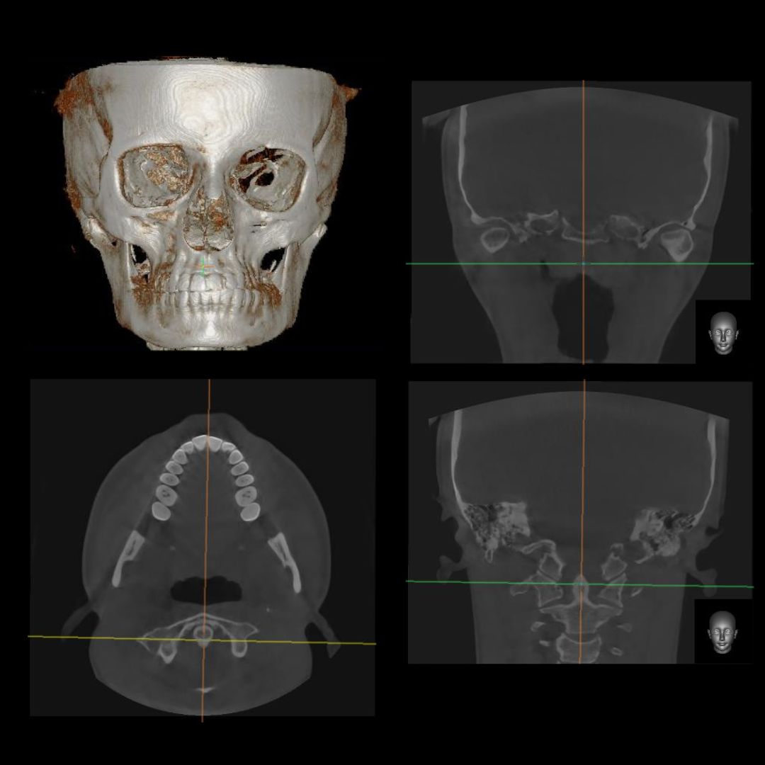
Диагностическое обследование показало, что у пациентки перекрестный прикус, асимметрия лица и улыбки, наклон окклюзионной плоскости.


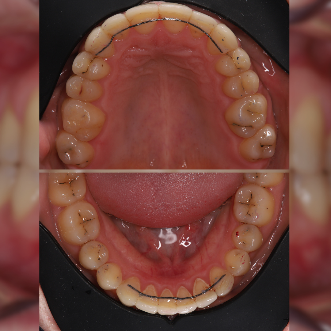
Лечение направлено на исправление прикуса и нормализацию положения окклюзионной плоскости.
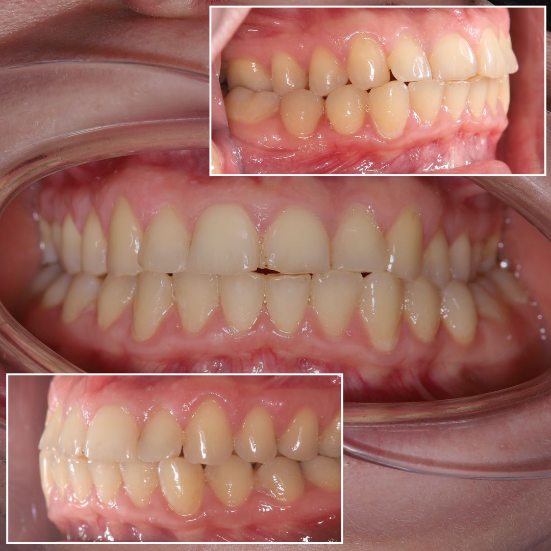
☝️ Результат достигнут за 1,5 года ношения лигатурной брекет-системы с применением межчелюстных тяг и окклюзионных накладок.




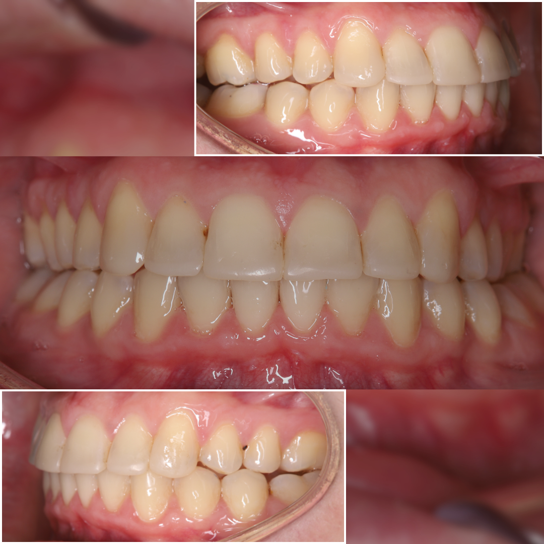
После снятия брекет-системы врач стоматолог-терапевт-ортопед Лисенкова Александра Андреевна провела эстетическую реставрацию передних зубов.
Мастера преображения 😁 улыбки врач-ортодонт Ирина Константиновна Шевченко и врач-стоматолог-терапевт–ортопед Лисенкова Александра Андреевна ✨
☝️ С другими примерами ортодонтического лечения можно познакомиться на персональной странице Ирина Константиновна Шевченко.

Прейскурант на Ортодонтическое лечение
| Наименование услуги | Цена |
|---|---|
| Ортодонтическая стоматология | |
| Аппарат небного расширения
| 36 300 ₽ |
| Двухчелюстной аппарат ортодонтический
| 36 300 ₽ |
| Изготовление контрольных диагностических моделей
| 2 750 ₽ |
| Исследование на диагностических моделях челюстей
| 3 025 ₽ |
| Одночелюстная ортодонтическая пластинка
| 33 000 ₽ |
| Ортодонтический трейнер
| 30 800 ₽ |
| Лечение на брекетах | |
| Комплекс мероприятий в ретенционном периоде (на 1 зубной ряд)
| 24 200 ₽ |
| Ортодонтическое лечение на брекетах (простой случай)
| 145 200 ₽ |
| Ортодонтическое лечение на брекетах (сложный случай)
| 399 300 ₽ |
| Ортодонтическое лечение на брекетах (стандартный случай)
| 217 800 ₽ |
| Установка брекет-системы Bio Quick (на 1 зубной ряд)
| 55 000 ₽ |
| Установка брекет-системы Damon Clear (на 1 зубной ряд)
| 102 850 ₽ |
| Установка брекет-системы Damon Q (на 1 зубной ряд)
| 78 650 ₽ |
| Установка брекет-системы Mini Master (в сменном прикусе)
| 30 800 ₽ |
| Установка брекет-системы Mini Master (на 1 зубной ряд)
| 42 900 ₽ |
| Установка брекет-системы QuicKlear (на 1 зубной ряд)
| 88 000 ₽ |
| Лечение на элайнерах | |
| Диагностика лечения на элайнерах StarSmile
| 12 100 ₽ |
| Лечение на элайнерах (максимальная сложность; 37 и более кап)
| 401 500 ₽ |
| Лечение на элайнерах (простой случай; 5-10 кап)
| 102 850 ₽ |
| Лечение на элайнерах (сложный случай; 21-36 кап)
| 308 550 ₽ |
| Лечение на элайнерах (стандартный случай; 11-20 кап)
| 264 000 ₽ |
| Повторное изготовление капы
| 12 100 ₽ |
| Общий раздел | |
| Диагностическое посещение врача-ортодонта с составлением плана лечения
| 6 380 ₽ |
| Консультация врача-ортодонта
| 2 750 ₽ |
| Повторный прием врача-ортодонта
| 825 ₽ |






