Все фотографии публикуются с разрешения пациента
Рассказывает врач-ортодонт клиники Норд Дентал, Ирина Константиновна Шевченко:
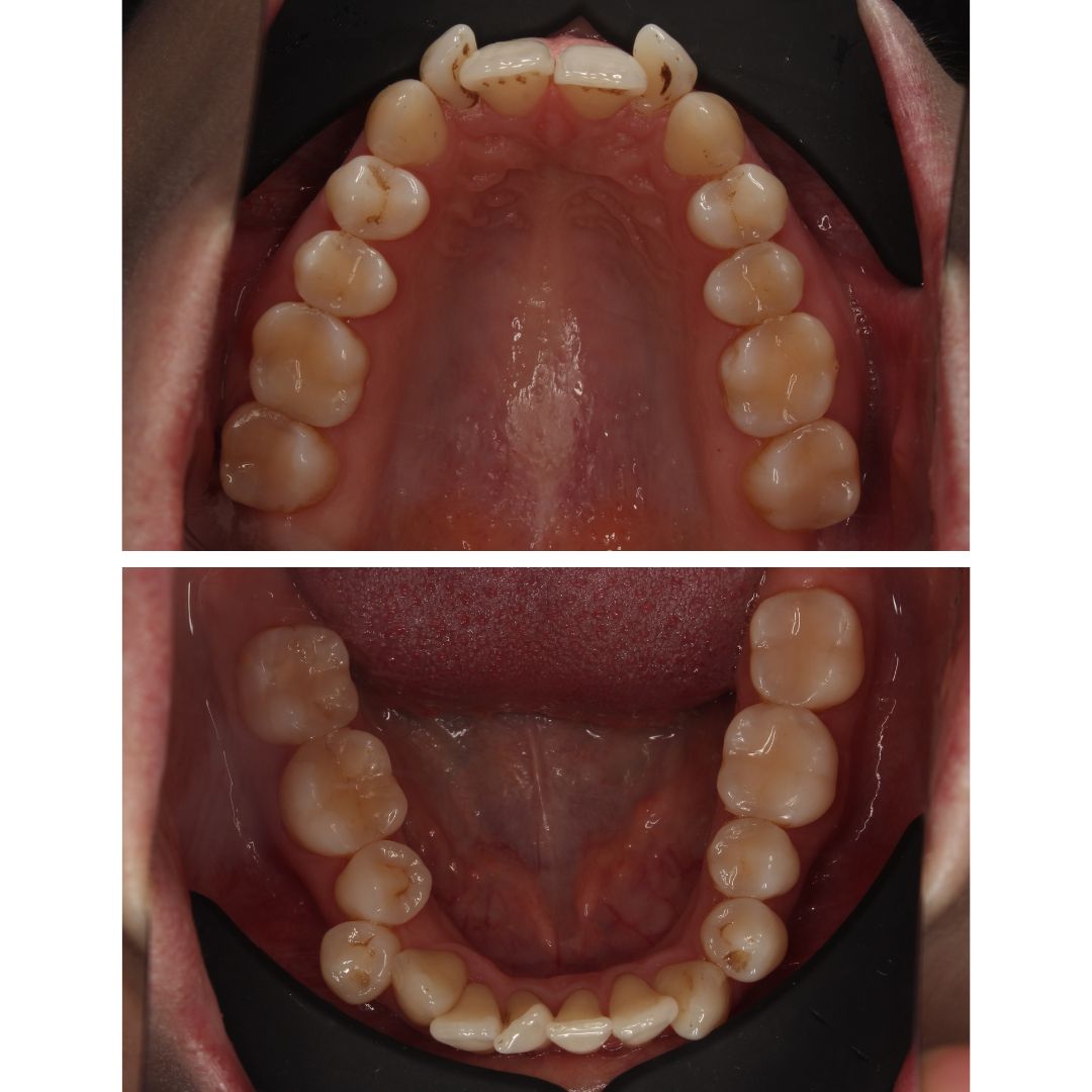
Пациентка обратилась в клинику «Норд Дентал» с запросом на улучшение эстетики улыбки.
Обследование показало:
- Сильную скученность зубов
- Дефицит места для постановки зубов в ровный ряд
- Наличии тонкого биотипа десны
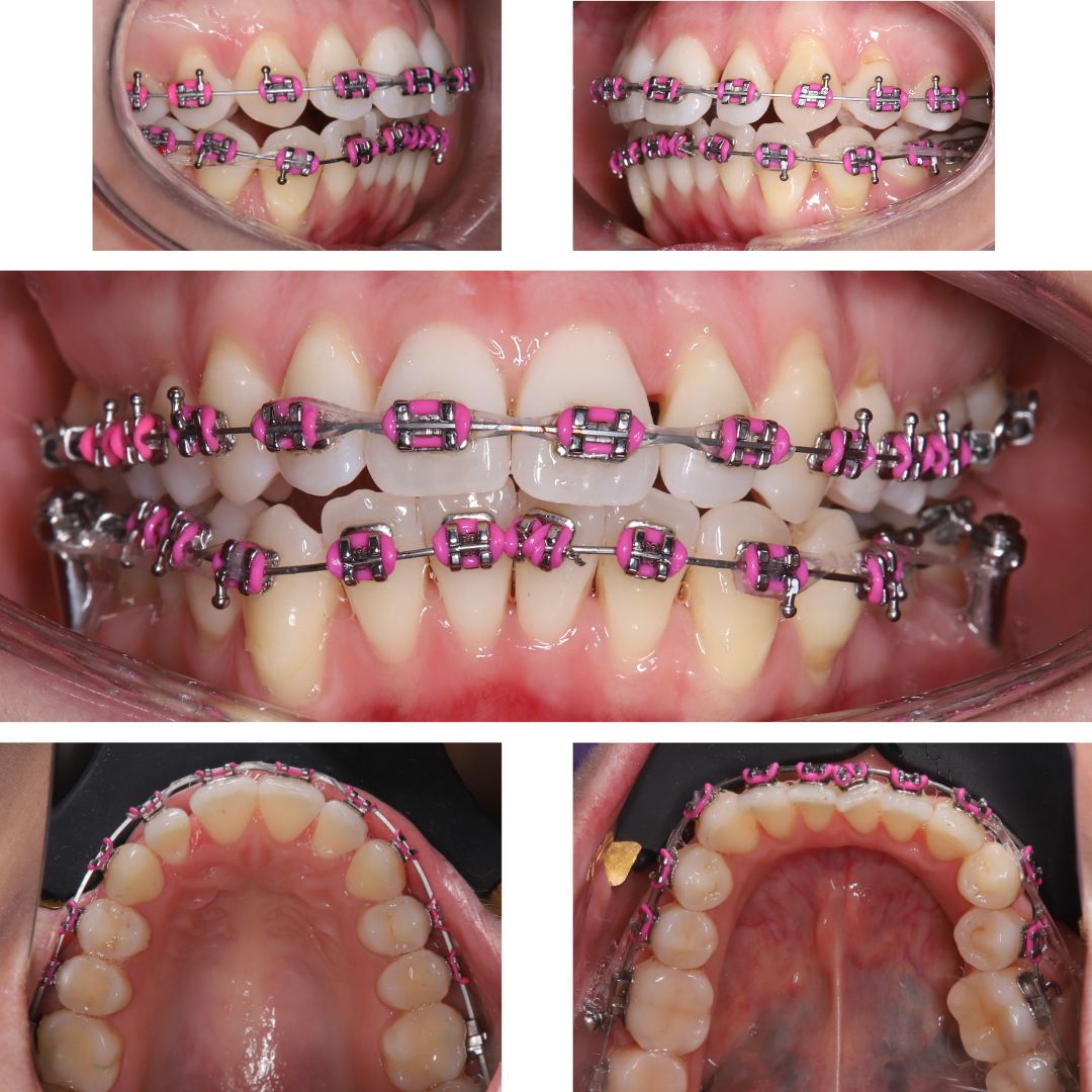
☝️ Ортодонтическое лечение пациентов с тонким биотипом десны требует особенно внимательного подхода при расчете нагрузок, поскольку избыточная нагрузка при перемещении зубов может привести к рецессии десны (оголению корней).



👉 А ЕЩЕ НАМ НУЖНО БЫЛО РЕШИТЬ: как при сильной скученности зубов и дефиците места, поставить все зубы в ровный ряд и при этом обойтись без удаления зубов?
МЫ СМОГЛИ ДОБИТЬСЯ РЕЗУЛЬТАТА ПРОВЕДЯ ДИСТАЛИЗАЦИЮ – смещение жевательных зубов на верхней и нижней челюсти назад. Такое лечение проводится с установкой миниимпланататов, которые служат опорой для крепления тяги идущей к зубу или группе зубов, которые нужно сместить.
Примечание: ортодонтические миниимплантаты не срастаются с костью и удаляются после завершения лечения.
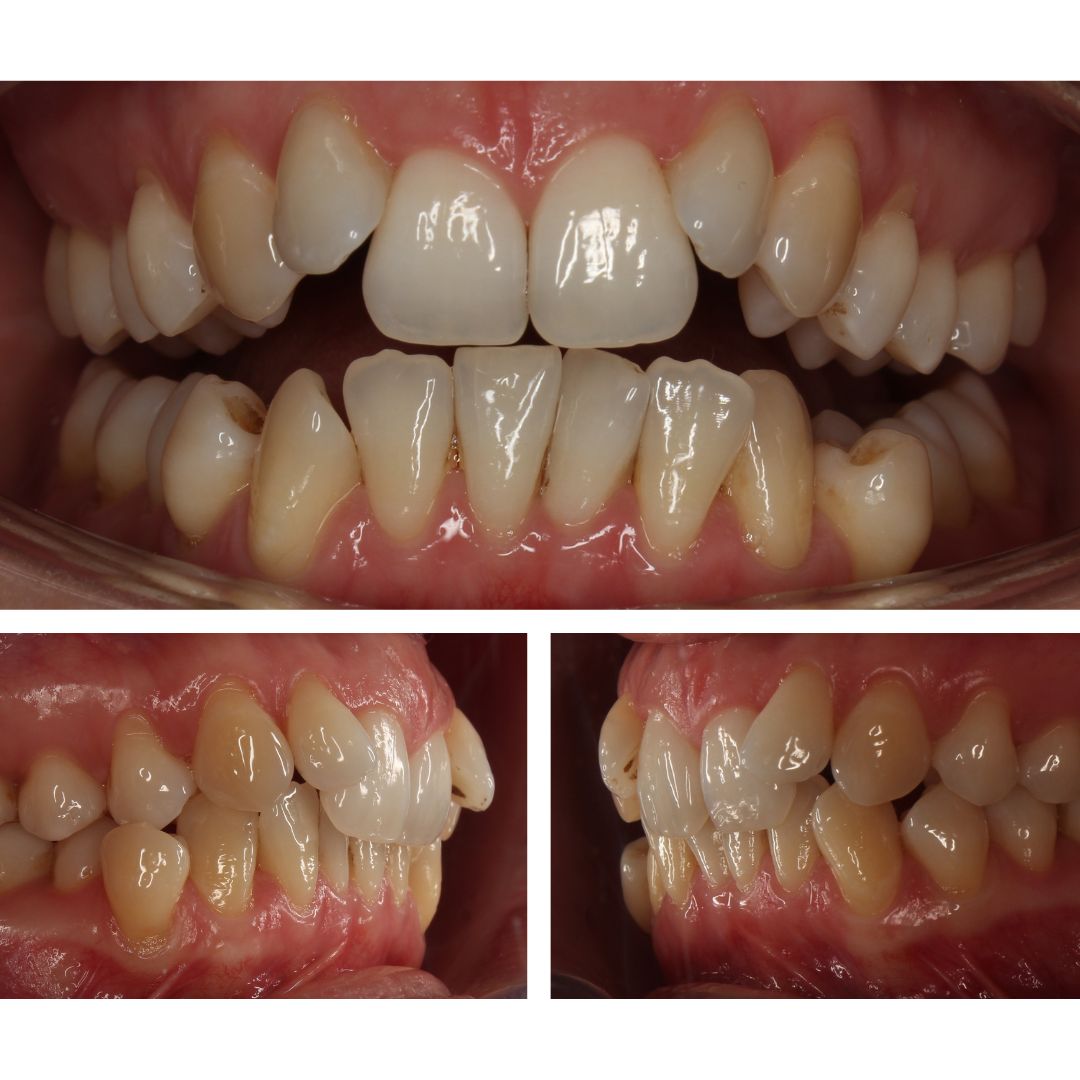
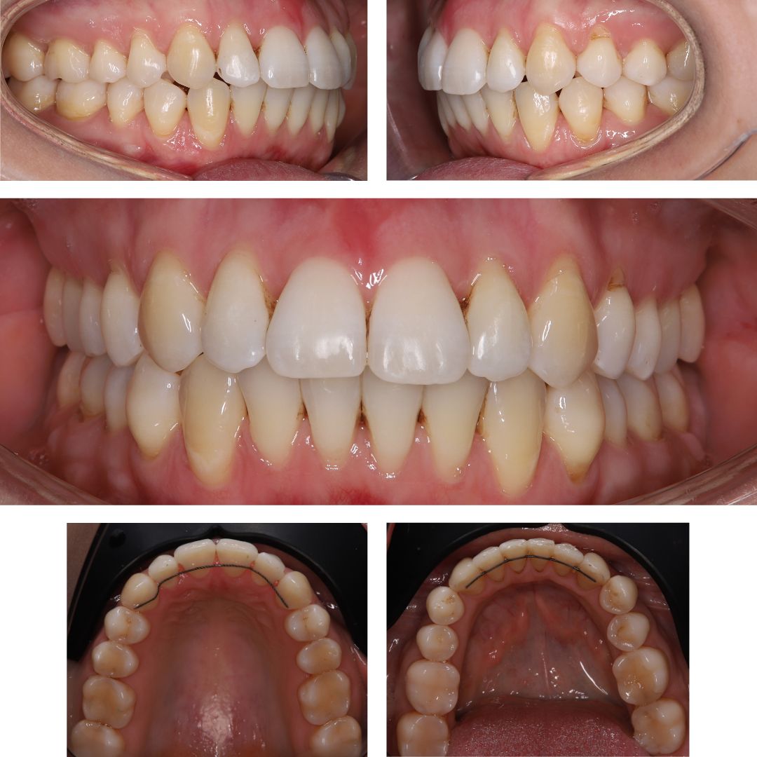
ЧЕРЕЗ 2 ГОДА ЛЕЧЕНИЯ – у пациентки ровный, красивый зубной ряд с плотными межзубными контактами 🥰
Как вам такое 🔥 преображение?



Мастер преображения 😁 улыбки врач-ортодонт Ирина Константиновна Шевченко.
С другими примерами ортодонтического лечения можно познакомиться на персональной странице доктора.
| Наименование услуги | Цена |
|---|---|
| Ортодонтическая стоматология | |
| Изготовление контрольных диагностических моделей
| 2 750 ₽ |
| Исследование на диагностических моделях челюстей
| 3 025 ₽ |
| Ортодонтический трейнер
| 30 800 ₽ |
| Одночелюстная ортодонтическая пластинка
| 33 000 ₽ |
| Аппарат небного расширения
| 36 300 ₽ |
| Двухчелюстной аппарат ортодонтический
| 36 300 ₽ |
| Лечение на брекетах | |
| Комплекс мероприятий в ретенционном периоде (на 1 зубной ряд)
| 24 200 ₽ |
| Установка брекет-системы Mini Master (в сменном прикусе)
| 30 800 ₽ |
| Установка брекет-системы Mini Master (на 1 зубной ряд)
| 42 900 ₽ |
| Установка брекет-системы Bio Quick (на 1 зубной ряд)
| 55 000 ₽ |
| Установка брекет-системы Damon Q (на 1 зубной ряд)
| 78 650 ₽ |
| Установка брекет-системы QuicKlear (на 1 зубной ряд)
| 88 000 ₽ |
| Установка брекет-системы Damon Clear (на 1 зубной ряд)
| 102 850 ₽ |
| Ортодонтическое лечение на брекетах (простой случай)
| 145 200 ₽ |
| Ортодонтическое лечение на брекетах (стандартный случай)
| 217 800 ₽ |
| Ортодонтическое лечение на брекетах (сложный случай)
| 399 300 ₽ |
| Лечение на элайнерах | |
| Повторное изготовление капы
| 12 100 ₽ |
| Диагностика лечения на элайнерах StarSmile
| 12 100 ₽ |
| Лечение на элайнерах (простой случай; 5-10 кап)
| 102 850 ₽ |
| Лечение на элайнерах (стандартный случай; 11-20 кап)
| 264 000 ₽ |
| Лечение на элайнерах (сложный случай; 21-36 кап)
| 308 550 ₽ |
| Лечение на элайнерах (максимальная сложность; 37 и более кап)
| 401 500 ₽ |
| Общий раздел | |
| Повторный прием врача-ортодонта
| 825 ₽ |
| Консультация врача-ортодонта
| 2 750 ₽ |
| Диагностическое посещение врача-ортодонта с составлением плана лечения
| 6 380 ₽ |








