с 9 до 21 часа
без выходных

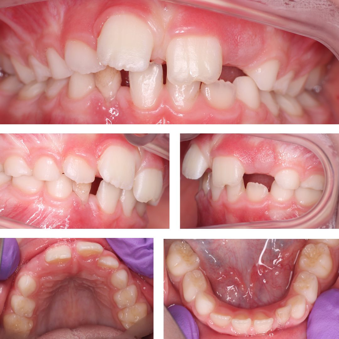
Обращение в клинику связано с жалобой на неровное положение центральных резцов, при этом проблем с прикусом не выявлено.


После диагностического обследования было предложено исправить положение зубов на детских элайнерах Kinder Smile.
Kinder Smile – это прозрачные каппы, которые изготавливаются индивидуально для каждого пациента.
☝️ С помощью капп можно исправлять различные нарушения прикуса: неправильное смыкание, скученность, щели между зубами. Каппы действуют так же, как и брекеты, – оказывают давление на зубы, но лечение проходит значительно комфортнее для пациента, поскольку они незаметны на зубах, их можно снимать во время еды и гигиены.
👉 Каппы Kinder Smile разработаны компанией STAR SMILE для ортодонтического лечения в период активной смены молочных зубов на постоянные. Каппы незаметны во рту, действуют мягко, не вызывая боли, не ограничивают образ жизни и диету, поэтому для ребенка процесс лечения проходит максимально легко, что и было подтверждено в ходе данного лечения, которое заняло 5 месяцев.


При наличии показаний, детские элайнеры (каппы) – удобный вариант для исправления прикуса.
✍️ Больше информации об исправлении прикуса на элайнерах вы найдете на сайте star-smile.ru
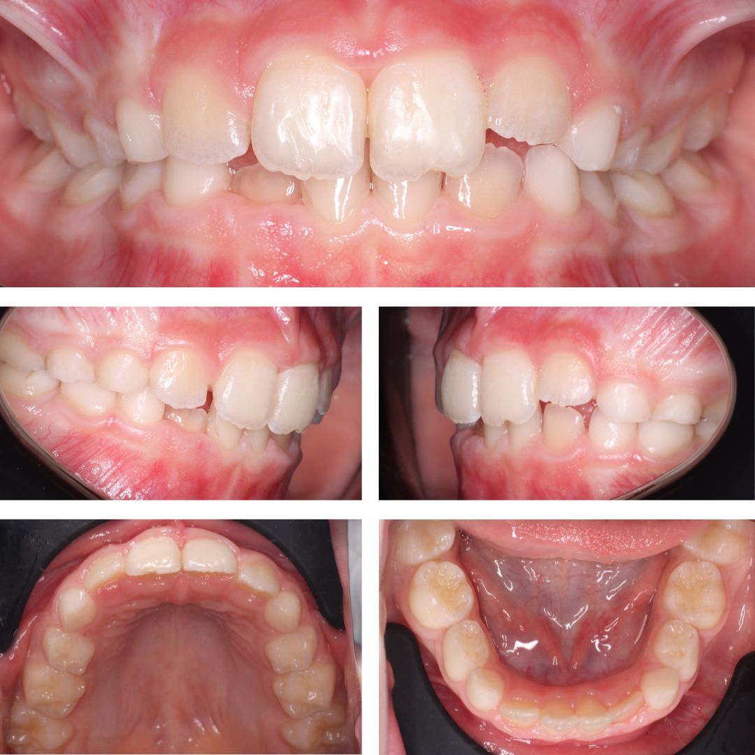
Посмотрите фото ДО и ПОСЛЕ. Как вам такое 🔥 преображение?
Мастер преображения 😁 улыбки врач-ортодонт Ирина Константиновна Шевченко.
С другими примерами ортодонтического лечения можно познакомиться на персональной странице доктора.
| Наименование услуги | Цена |
|---|---|
| Консультация врача-ортодонта | 2500 ₽ |
| Диагностическое посещение врача-ортодонта с составлением плана лечения | 5800 ₽ |
| Изготовление контрольных диагностических моделей | 2750 ₽ |
| Одночелюстная ортодонтическая пластинка | 30000 ₽ |
| Двухчелюстной аппарат ортодонтический | 33000 ₽ |
| Ортодонтический трейнер | 28000 ₽ |
| Аппарат небного расширения | 33000 ₽ |
| ЛЕЧЕНИЕ НА БРЕКЕТАХ | |
| Установка брекет-системы Mini Master (на 1 зубной ряд) | 39000 ₽ |
| Установка брекет-системы Mini Master (в сменном прикусе) | 28000 ₽ |
| Установка брекет-системы Bio Quick (на 1 зубной ряд) | 55000 ₽ |
| Установка брекет-системы Damon Q (на 1 зубной ряд) | 71500 ₽ |
| Установка брекет-системы QuicKlear (на 1 зубной ряд) | 80000 ₽ |
| Установка брекет-системы Damon Clear (на 1 зубной ряд) | 93500 ₽ |
| Ортодонтическое лечение на брекетах (простой случай) | 132000 ₽ |
| Ортодонтическое лечение на брекетах (стандартный случай) | 198000 ₽ |
| Ортодонтическое лечение на брекетах (сложный случай) | 363000 ₽ |
| Комплекс мероприятий в ретенционном периоде (на 1 зубной ряд) Включает: снятие брекет-системы, установка ретейнера, изготовление капы, наблюдение у врача-ортодонта в течении 1 года | 22000 ₽ |
| ЛЕЧЕНИЕ НА ЭЛАЙНЕРАХ | |
| Диагностика лечения на элайнерах StarSmile Диагностика включает: снятие слепков челюстей, фотопротокол, анализ снимков (КТ и ТРГ), планирование лечения, построение компьютерной модели (Setup-модели) конечного результата. Об исправлении прикуса ортодонтическими капами можно узнать в статье "Брекеты не нужны если помогут элайнеры!" | 11000 ₽ |
| Лечение на элайнерах (простой случай; 5-10 кап) | 93500 ₽ |
| Лечение на элайнерах (стандартный случай; 11-20 кап) Предлагаем поэтапную оплату лечения в течение года | 240000 ₽ |
| Лечение на элайнерах (сложный случай; 21-36 кап) Предлагаем поэтапную оплату лечения в течение года | 280500 ₽ |
| Лечение на элайнерах (максимальная сложность; 37 и более кап) Предлагаем поэтапную оплату лечения в течение года | 365000 ₽ |
| Повторное изготовление капы | 11000 ₽ |
